伊豆の国市・函南町の歯医者・歯科・歯科医院なら

〒410-2211 静岡県伊豆の国市長岡1322-9 
 (順天堂静岡病院立体駐車場前)

診療時間
8:30~12:30
13:30~17:00(16:30最終受付)

インプラントとは?

「しゃべりにくい」「違和感がある」「笑えない」「老けて見える」入れ歯を使用している多くの皆さんが不満に思っている感想です。歯を失ったときの不安や悩みは深刻です。そして、「歯を失ったことで、他にも失ったこと」があります。それは、普通の出来事、すなわち「ライフスタイル」です。
歯があったときは、家族と同じ食事ができた。固い物でもバリバリ食べることができた。おしゃべりも上手にできた。人前で大きな口を開けて笑うことができた。力仕事をするとき、奥歯で噛みしめて、踏ん張ることができた、等。歯があったときには、あたり前だったことが、歯を失うことによって「できなくなってしまった」のです。歯を失ったり、入れ歯を使用することによって、不自由な生活をされている方も多いと思いますが、実は、その悩みはインプラント治療で解決することが出来るのです。
インプラントとは「第2の永久歯」と言われ、自分の歯と同じように「シャキシャキ」とおいしくリンゴをかじったり、「ボリボリ」とたくあんを食べることも可能になるのです。取り外しの必要が無いので、大きな口を開けても外れる心配はありません。
インプラントは多くの利点を持つ治療法ですが、書籍やインターネットを見ても情報が多すぎて、実際はどの様なものなのか、わかりづらい状況になっています。この度は、AAIDアメリカインプラント学会専門医が現場の声として、治療法を正しく理解するために必要な知識を、ホームページでお伝えしたいと思います。「これからインプラント治療を考えよう」という皆さんのお役に立つことができれば、これほど嬉しいことはありません。

※インプラント説明会、随時開催しております。(伊豆の国市、函南町、伊豆市、三島市、沼津市はもとより伊東市・熱海市・下田市などの伊豆全域や、御殿場市・裾野市・長泉町・清水町・小山町など静岡県東部からも多くの患者さんが来院されております。お気軽にお問合せ下さい。)

歯を失う主な原因とは?

歯が抜けてしまう背景には、以下のような理由があります:

■ 病気(むし歯・歯周病)

むし歯や歯周病が進行して末期になると、歯が自然に抜けてしまったり、抜歯が必要になることがあります。特に歯周病は、中高年の方が歯を失う最大の原因とされています。

■ 外傷・事故

スポーツや転倒などの外傷により、歯や歯根が破折・脱臼し、保存が困難になる場合もあります。

■ 先天的な欠如

生まれつき歯の本数が足りない「先天性欠如歯」の方もおられます。歯と歯の間に隙間ができ、審美性や噛み合わせに問題が生じやすくなります。

歯を失ったままにしておくと、以下のような見た目・機能・精神面での悪影響が広がっていきます:

■骨が吸収され、歯ぐきが痩せて老けて見える

■隣の歯や噛み合う歯が移動し、噛み合わせが悪くなる

■噛める歯が減り、食事を楽しめなくなる

■奥歯がないと、力仕事やスポーツで力を入れにくくなる

■息が漏れてうまく発音できず、会話が億劫になる

■前歯がないと、顔貌が変化し、実年齢より老けて見える

■見た目の悩みから、外出を控えるようになり、気持ちが沈みがちに

歯を失ったままにしておくと、日常生活に様々な障害が発生します。

歯を失ったままにしておくと

  • 1
    歯根が失われると、骨に伝わる力がなくなり、歯を失った部分の骨がやせていきます。
  • 2
    歯の喪失によって歯が移動し、歯並びがかわってしまう場合があります。
  • 3
    歯の喪失によって、見た目が悪くなります。
  • 4
    骨の喪失によって顔の輪郭が変わってしまいます。

インプラントとは?
(通常のインプラント法)

歯科インプラントとは、歯を失った部分に人工歯根(主にチタン製)を外科的に埋め込み、その上にセラミックなどで作られた人工の歯を取り付けて、機能と見た目を回復する治療法です。

まず、CT撮影による精密検査と専用のインプラントシミュレーションソフトを用いた解析を行い、安全かつ正確な治療計画を立てます。その後、口腔内のむし歯・歯周病の治療、噛み合わせの調整、必要に応じて矯正治療を先に行い、インプラントに適した環境を整えます。

【治療計画に基づき、インプラントを埋め込む正確な位置を決める「サージカルガイド(手術用ガイド)」を製作し、手術前の口腔クリーニングを実施します。】

その後、一次手術としてインプラント体(フィクスチャー)を顎の骨に埋入し、数か月の治癒期間を経て骨としっかり結合させます。治癒後には二次手術を行い、歯肉からインプラントの上部構造を露出させます。なお、骨や歯肉の状態が良好な場合には、一次手術と二次手術を同時に行う「1回法」が選択されることもあります。

傷口が治った後に精密な型取りを行い、上部構造(人工歯)を製作・装着します。

治療終了後も、インプラントを長期的に安定させるために、3か月から半年に一度の定期的なメンテナンスが重要です。天然歯と同様に、日常のケアと歯科医院でのプロフェッショナルケアを継続することで、インプラントを長持ちさせることができます。

抜歯後の三つの治療法
前歯を失った時 インプラントのススメ
奥歯を失った時 インプラントのススメ

インプラントとその他の治療

入れ歯、ブリッジ、インプラントを選択できるケースがあります。患者さんのご要望を最も反映できる治療法を提案することが可能です。

インプラント (1本欠損ケース)

・健康な歯を削る必要がなく、周りの歯に負担をかけません。

歯の欠損

歯を再生する時、インプラントは前後の歯に固定源を求めない唯一の治療法になります。自費治療になります。

インプラント埋め込み

手術で歯肉をめくって骨にインプラントを埋め込みます。治癒期間を待ちます。

インプラント土台接続

手術でインプラントを露出させ、土台を接続します。

セラミックの歯を固定

セラミックの歯を①ネジ止め②接着剤で仮止め、のどちらかで固定します。

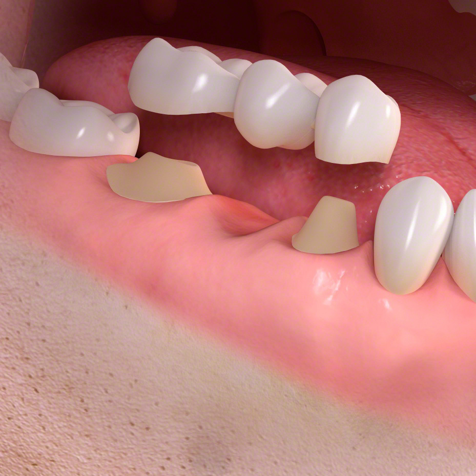
ブリッジ

・健康な歯であっても、土台にするために小さく歯を削る必要があります。

歯の欠損

ブリッジは少数の歯を失った時に行う治療法です。
前後の土台になる歯が平行に生えている場合のみ可能な治療法です。

ブリッジ準備

無い場所に歯を作るため前後の歯を平行に小さく削ります。

ブリッジ

3本つながった歯の被せ物をセメントで固定します。
保険の場合、奥歯は銀歯になります。
白い歯をご希望の場合は自費のセラミックになります。

インプラント(多数歯欠損ケース)

少数の歯を失ったケース

インプラントブリッジタイプ

・インプラントとインプラントでブリッジが可能です。

数本の歯を失った。

手術でインプラントを埋める。

 

インプラントに土台を接続します。

ブリッジタイプの被せ物を装着します。

インプラント1本・デンチャータイプ(1~2本のインプラント埋入で部分義歯)

・入れ歯がかたつく、歯ぐきにあたって痛い、すぐ外れてしまう...などの症状を軽減できます。

・金属のバネが無いため目立たず、入れ歯を支える歯への負担も少ないです。 

欠損部分に1本のインプラントを埋めます。

インプラントに凹の装置、入れ歯に凸の措置を装着し接続することで入れ歯のかたつきを解消し、しっかり噛むことができます。

着脱式の入れ歯です。お手入れは外して洗浄します

多くの歯を失ったケース
固定式タイプ

・5~8本のインプラントによって自分の歯のように噛めるよう修復

多くの歯を失った場合。

手術でインプラントを埋める。

人工歯を装着します。

インプラント治療で修復。

取り外しタイプ
(インプラントに義歯を固定します)

・2~4本のインプラントによって入れ歯を固定します。

全ての歯を失った。

インプラントを埋める。 (​2~4本)

インプラントに凸型の装置を装着。

義歯に付けた凹型の装置と接続させる。 義歯を自分で取り外して洗浄します。

セラミックブリッジと
インプラントの比較

セラミック ブリッジのケース
(伊豆市在住 女性)

両サイドの歯を削りブリッジへ
(デメリット:健康な歯を削る)

3本連結されたブリッジを装着

インプラントのケース
(三島市在住 女性)

両サイドの歯が平行でない1本欠損
(メリット:周りの歯を削らず済む)

欠損した部位にインプラント埋入 

ブリッジの欠点

少ない本数の土台で支えるブリッジの場合、過重負担のため、支える歯がむし歯や歯槽膿漏で悪くなると、ブリッジ全て失う可能性があります。
特に保険で作られた適合があまいブリッジは約7年で50%が悪くなります。

少ない本数で支えられ作られたブリッジ、見た目はよいですが…

少ない支えで過重負担となり、支える歯ごと抜けてしまいました。

その結果、多数の歯を一度に失うことになりました。

 

入れ歯

入れ歯装着前

入れ歯は一般的には歯を多く失った時に行う治療法で、型を取って、噛み合わせを記録して製作する取り外し可能な物です。保険で製作できますが、薄くて快適な入れ歯や、バネのないノンクラスプデンチャーは自費治療になります。

入れ歯

入れ歯は粘膜の上に乗せているだけなので噛むと沈み込み、土台の歯にバネの栓抜き効果が加わり、その歯が数年でダメになります。更に骨も経年と共に吸収していくので、合わない入れ歯を使用していると、更に悪化の速度が増します。

 

入れ歯の欠点

バネを掛けた歯は4年で90%に虫歯ができ、栓抜き効果で次々に歯が抜けてしまいます。最終的に総入れ歯になります。 

入れ歯を付けている部分の顎の骨が1年間に0.5~1.0㎜ずつ痩せてしまうのです。だから、入れ歯は合わなくなるのです。

 

インプラントの
適正な治療費用とは?

東京歯科大学 口腔インプラント学講座の場合
1983年に東京歯科大学が日本で最初にオッセオインテグレーテッドインプラントの概念とその治療法を紹介    

【歯科大学教授が明かす ほんとに聞きたい! インプラントの話】より
東京歯科大学 口腔インプラント学講座教授 矢島安朝
角川SSS新書

以上の、歯科大学インプラント科教授の書籍に書かれているように、利益を追求しない教育機関である歯科大学においても、インプラント1本の治療費は40~50万円はかかります。さらに手術時に歯科麻酔医による静脈内鎮静法を行うと別途6万~10万円はかかります。インプラント治療を10万円、20万円という安価で提供している歯科医院での治療は、安全面で不安があります。事実、それらの歯科医院で行ったインプラント失敗患者さんの多くが、歯科大学病院のインプラント科をやり直しのリカバリー治療のため受診しています。

安全面をおろそかにした一例として、愛知県豊橋市でインプラントを洗剤で洗って、使いまわした事件がありました。これは論外ですが、他にも、東京でインプラント手術中に、死亡事故がありました。CTで診断を行わず、術中に動脈を損傷して大量出血を招き、血液で口腔底が腫れ、気道閉塞を起こして、患者さんは窒息で死亡しました。高額医療機器ではありますがCT検査で、術前に解剖学的特徴を把握していれば避けられた事故です。安全面をコストカットすれば治療費は下がりますが、危険を冒して安価で手術する必要があるのでしょうか?

高度な滅菌・消毒システムの維持、日進月歩で進化する医療の技術・教育・設備のアップデートには時間とコストが掛かり、それらの充実度に比例して治療費は上がります。約7万件の歯科医院のうち、約2万件がインプラントを診療科目に、その中で約8割が年間埋入本数は30本以下、年間埋入本数が100本以上のクリニックは全体の3~4%と言われています。身体のことなので十分に安全面を考えた上で病院選びをしましょう。

 

インプラント構造

インプラントは、人工歯根(いわゆるインプラント)・支台(アバットメント)・人工歯(クラウン)、3つの部品で構成されています。
インプラント治療費の正式な表示方法の規定がないので、スタンダードな治療の場合、大きく分けると3通りの表示方法があります。①人工歯根のみ表示(安く見せるための表示方法です)②人工歯根+支台③人工歯根+支台+人工歯(被せ物まで付いた、治療ゴールで全て込みの1本あたりの表示方法)

当院の場合は③にプラスして手術時の静脈内鎮静法の治療費も含んだ治療費が47万円になります。

※通常、インプラントを植えこむ部位の骨が少なく、造骨が必要な場合の手術費用は別途必要になります。(※高度な技術が必要な造骨手術は、限られた歯科医院でしかできません)

 

日本口腔インプラント学会が調査した「インプラントの費用」

各インプラントのご紹介

入れ歯のように取り外しの煩わしさがなく、イカや焼き肉、たくあんなど、固いものでも自分の歯と同じように噛むことができます。
 

各部位別のインプラント

歯を失った部位に合わせ、適切な方法で処置を行います。当院では安全を第一に、全ての手術に静脈内鎮静法を行って行っています。                      

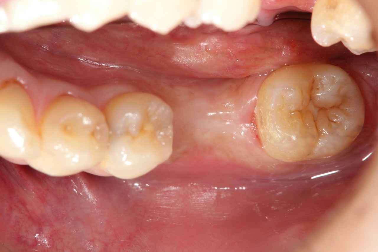
奥歯インプラント(スクリュー固定)
(伊東市 女性)
治療の流れ

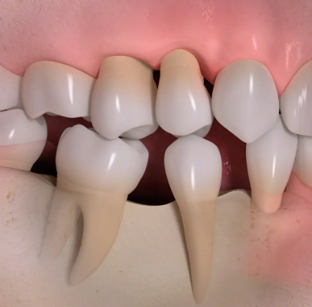
むし歯で歯を失ってしまいました。

インプラントを埋入し、最終的な被せ物を装着しました。(ネジ穴をふさぐ前)

ネジ穴をふさぐとこの様な状態になります。

前歯インプラント(美しさを重視した場合は、ジルコニアでセメント固定がお勧めです。前歯の場合は、歯肉の形をシャープできれいな形にする為、仮歯が必要です。)
(下田市在住 女性)
治療の流れ

前歯破折

神経を取って差し歯にしていた歯根が破折したため、抜歯することになりました。

前歯インプラント土台

前歯部の審美領域は、白い土台など、より綺麗に見せるオプション費用が追加になります。

前歯インプラント

最終的な被せ物を装着すると、隣の天然歯と見分けがつかない綺麗な仕上がりになりました。

外傷とインプラント(骨造成・仮歯)
<交通事故等の外傷により骨が欠損している場合> 

下顎骨(エラの部分)からのブロック骨移植(ご自身の骨)+CGF(再生療法)
左上前歯1本 オールセラミック  右上奥歯1本 ホワイトジルコニア
(熱海市在住 女性)   

骨移植することにより、インプラントを埋入することができます。

治療の流れ

外傷により前歯が欠損となりました。

骨移植→インプラント埋入
インプラントの両隣の歯には、セラミックを被せます。

上部構造装着
自分の歯のように自然な口元になりました。

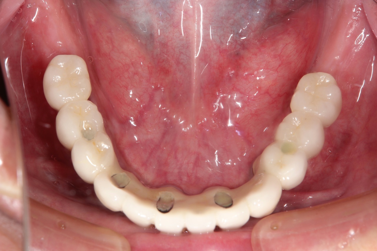
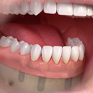
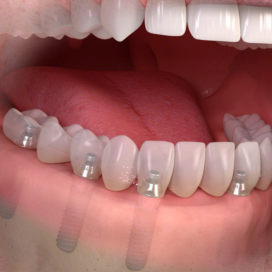
インプラントオーバーデンチャー<ロケータータイプ> (沼津市在住 男性)

インプラントを埋め込み、固定用のロケーターを装着し、入れ歯をしっかりと固定する治療法です。
少ない本数でがっちり噛める治療法です。取り外し可能でしっかり固定できるので、入れ歯の誤飲の心配がなく、手入れがしやすいので寝たきりになっても安心に使用出来ます。
しっかり噛むことで踏ん張りがきくので転んで骨折するリスク回避にもなります。

● オーバーデンチャーを外した状態

● オーバーデンチャーを付けた状態

インプラントオーバーデンチャー
インプラントオーバーデンチャー
インプラントオーバーデンチャー

オーバーデンチャーをお勧めの方

上顎前歯部によって口腔側から上唇を支えることをリップサポートと言いますが、歯を失った後に骨の吸収が進み、顎堤(歯が生えていた土手状に盛り上がった歯肉の部分)が吸収した場合、義歯を入れていない状態だと口腔側からの支えがなくなります。そのため口元が入り込んでしまい、しわが目立ち老けて見えてしまいます。入れ歯の床(ピンク色の部分)によって吸収した顎堤を復元することで、適切なリップサポートを回復することができます。口唇を形成する筋は顔の表情を作ったり、発音時の口唇の動きを円滑にします。総入れ歯や前歯が長い間ないままで過ごしてきた方には、リップサポートをするためオーバーデンチャーをお勧めします。
固定式のインプラントをご希望の場合は、大がかりな骨造成が必要になります。

入れ歯を外した状態
口元が入り込んでいます

入れ歯を入れた状態
口元に張りが出ます

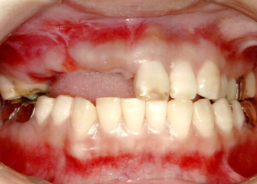
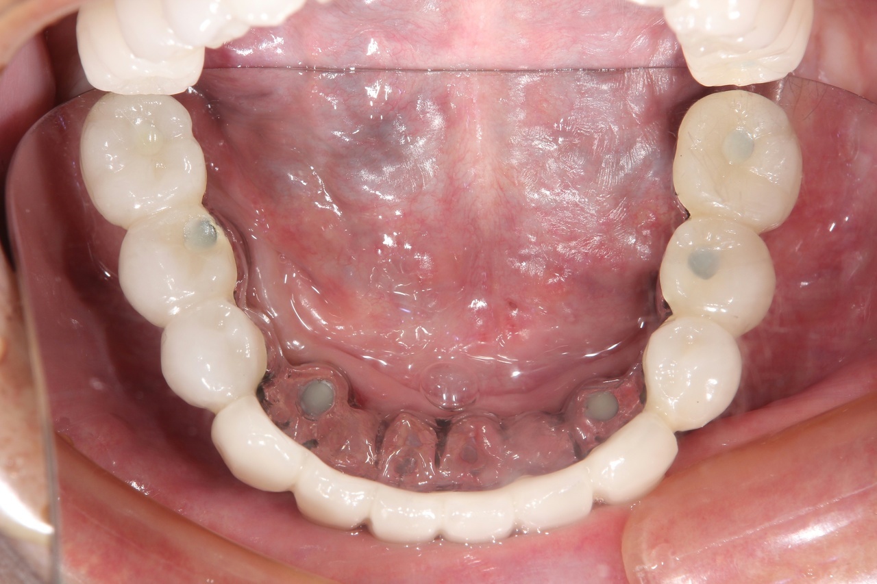
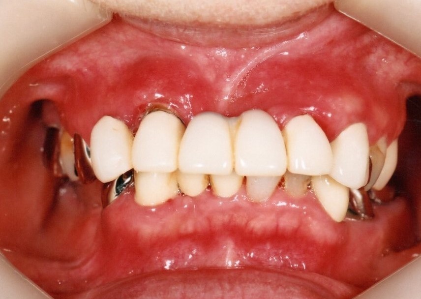
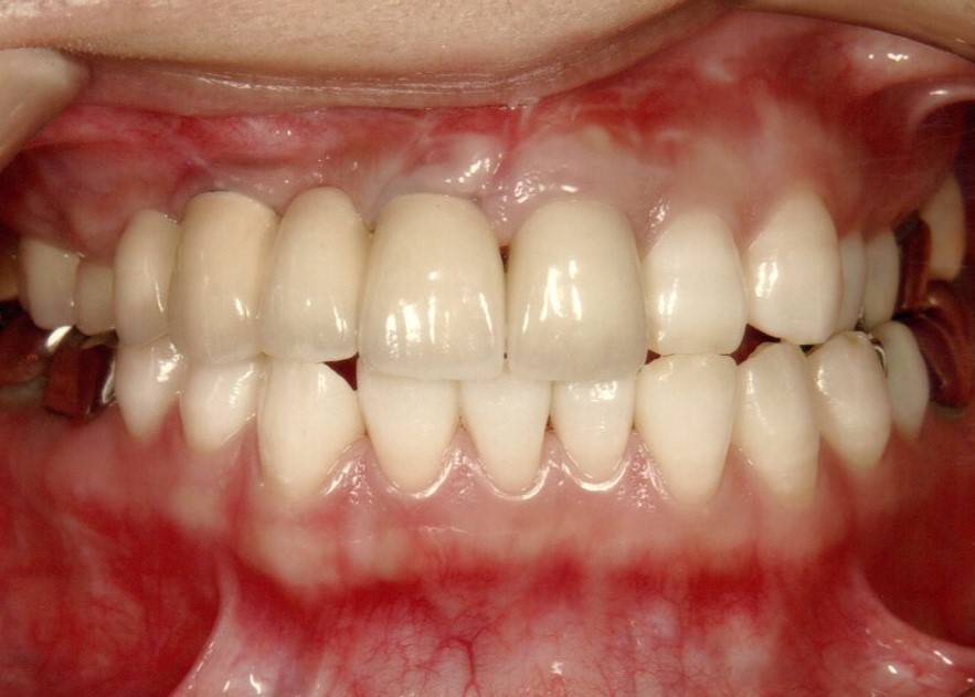
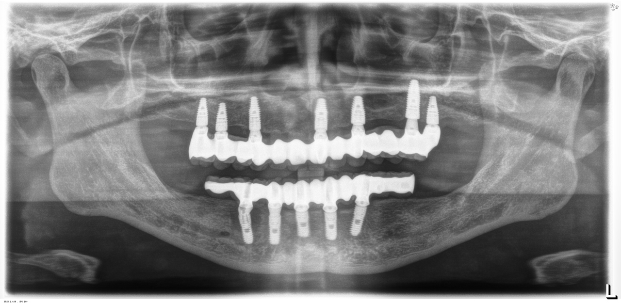
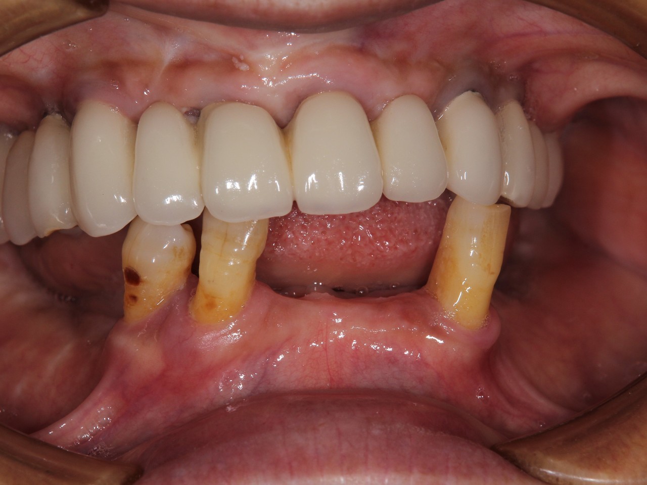
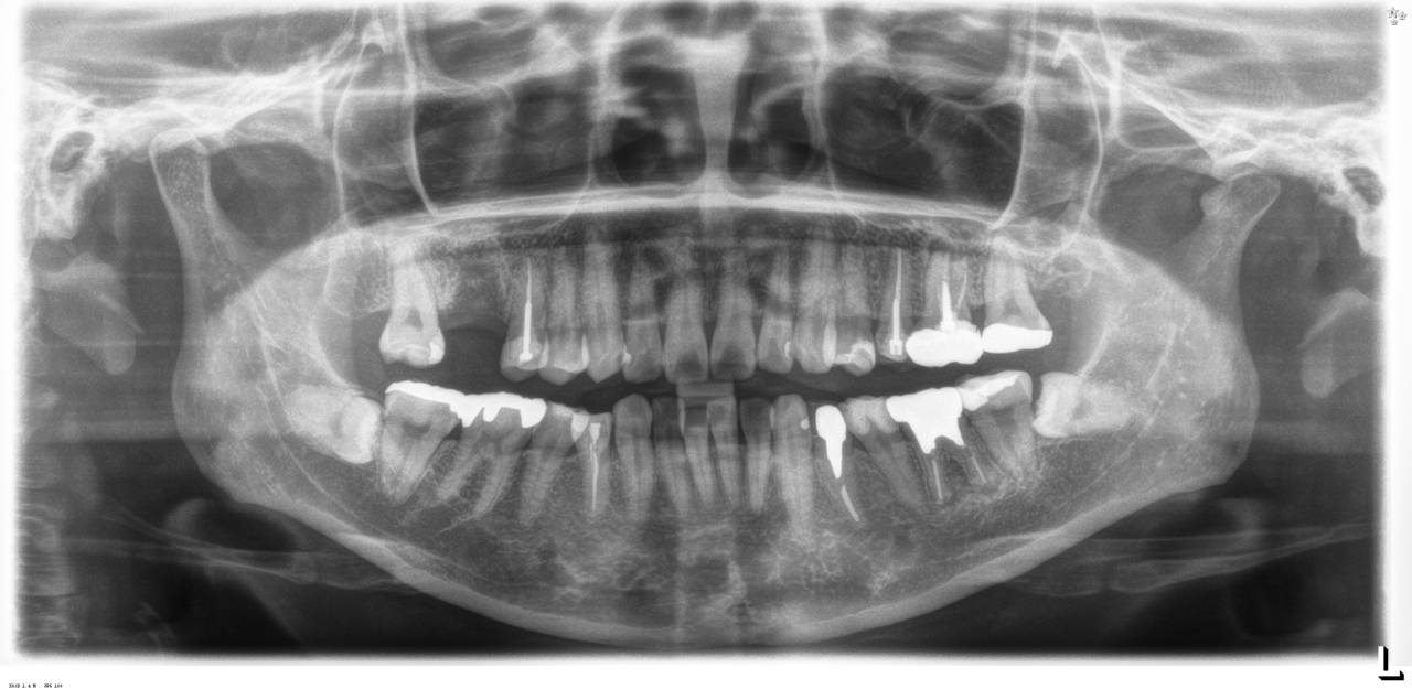
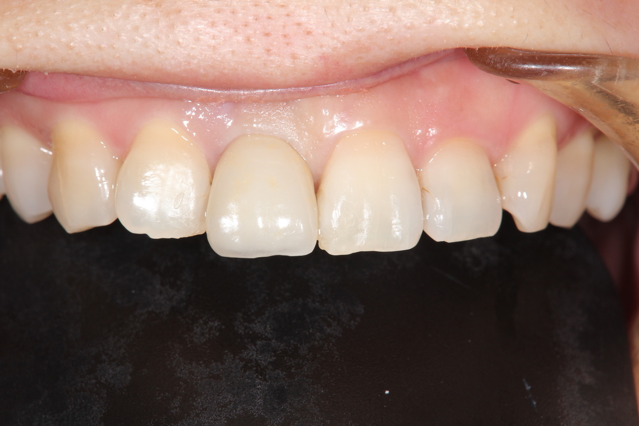
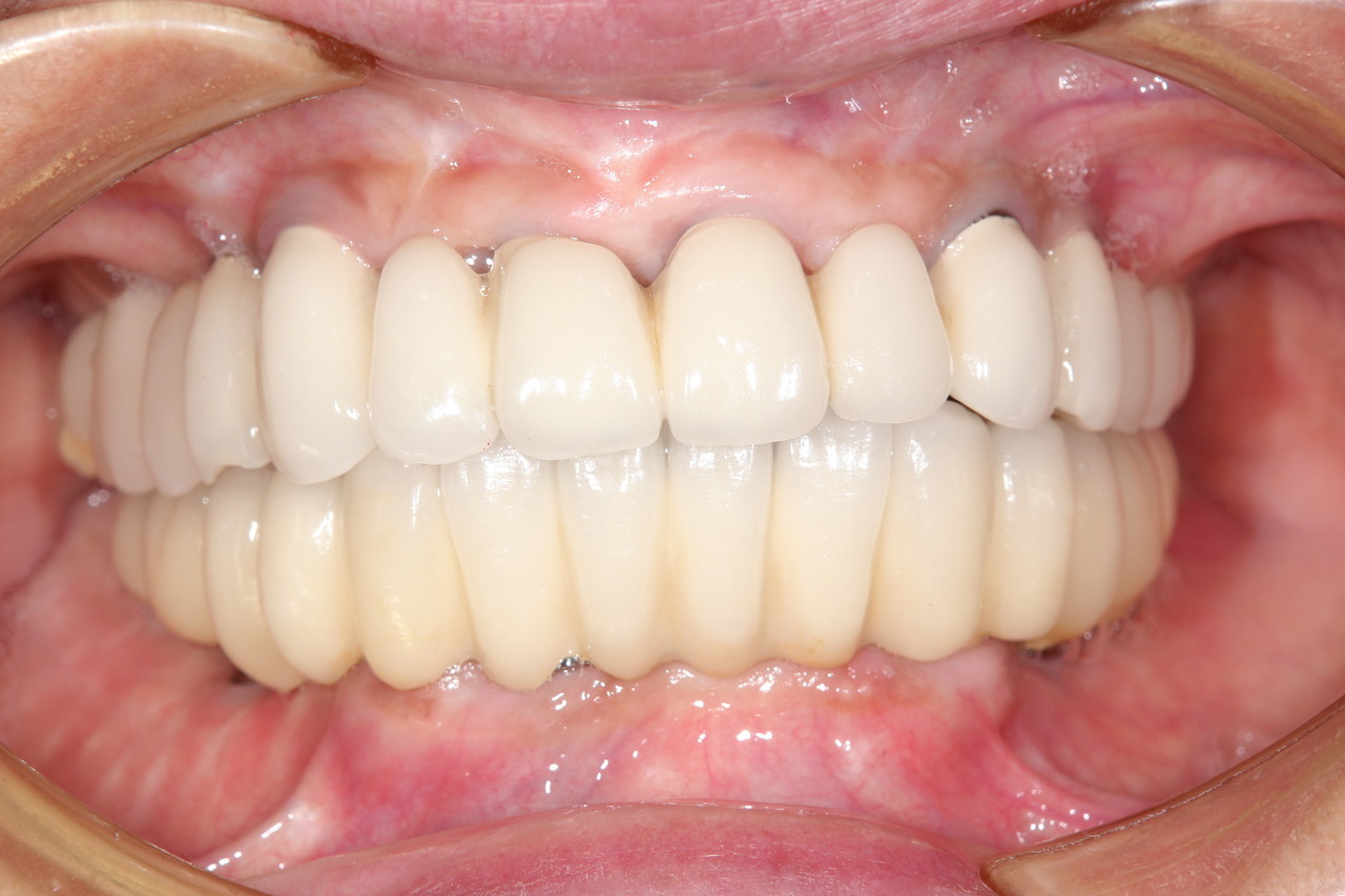
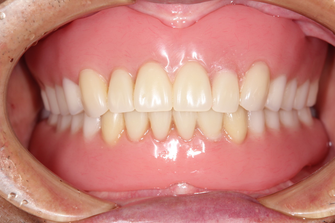
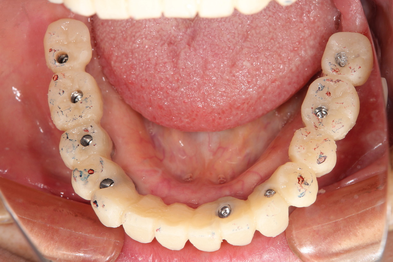
歯周病とインプラント(抜歯即時荷重)<ガイドシステムを使用した埋入法>
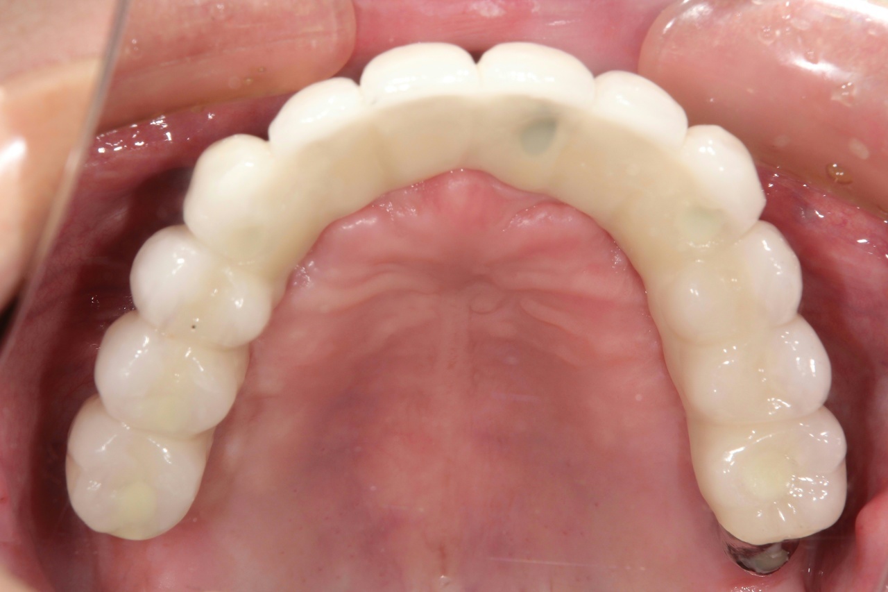
インプラント8本で14本の歯を並べたケース・仮歯代含む (函南町在住 女性

抜歯後、片顎8本のインプラントを埋入し、即日に仮歯を製作する事により、1日で片顎14本の歯を回復します。事前にインプラントを埋入する位置をCTによりシミュレーションし、埋入ガイド、仮歯を準備したうえで手術を行います。埋入ガイドにより、正確な位置にインプラントを埋入することができます。

治療の流れ

治療前

下の歯は歯周病でグラグラです。
後のインプラント手術時に、抜歯します。

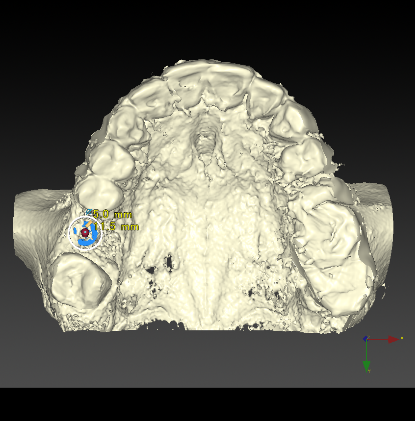
CT撮影

埋入位置を決めるための装置(ラジオグラフィックガイド)を口腔内に入れCTを撮影します。

埋入ガイド

CT画像上にて決定した埋入位置で製作された埋入ガイド。正確でスムーズな手術を行えます。

仮歯

埋入位置に合わせた仮歯を製作します。

仮歯装着①

インプラント埋入後、その日に用意していた仮歯を装着します。

仮歯装着②

仮歯をネジ止めして固定します。
これはまだネジ穴を塞いでいない状態です。

最終的な被せ物装着

インプラントがしっかり骨に定着したら、型取りをして、最終的な被せ物を製作し、装着します。

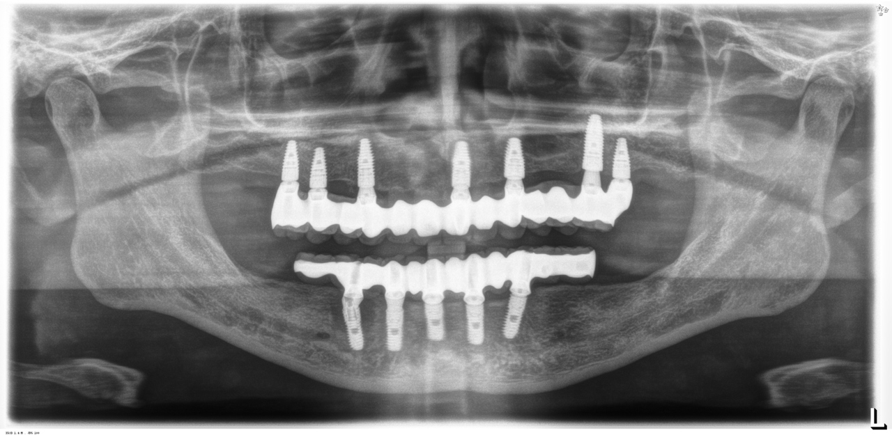
完成後のレントゲン写真

最終的な被せ物を装着した状態のレントゲン写真。
(今回は下顎ですが、その前に上顎は治療済みです。)

フルマウス(全顎)インプラント治療費の表示方法について
(インプランントオーバーデンチャーを除く)

全額にわたるインプラントの場合、仮歯の作製が必須になります。

治療費は大きく分けると①人工歯根・仮歯・人工歯をそれぞれ分けて表示②人工歯根+仮歯・人工歯の2つに分けて表示③人工歯根+仮歯+人工歯をまとめて一括で表示、の3通りの表示方法があります。①②③の方法で治療費の比較はできません。良くある誤解で、「人工歯+仮歯だけの治療費を見て、安いと思って治療をしたら、数か月後に人工歯の治療費を請求され、金額を見てびっくりした。」という話を聞いたことがあります。治療を受ける前に、治療費総額の見積もりを出してもらいましょう。

当院では、③の治療費総額一括で表示しています。

※オールオン4の場合は、人工歯が更に材質によって高額な順に①ジルコニア②セラミック③硬質レジン④アクリル、の4つに分かれます。二軒の歯科医院で治療費を比較していたら、一軒目の歯科医院は最高級のジルコニアで、もう一軒の歯科医院は治療費が安いと思ったらアクリルだった。など表示方法の仕方で受ける印象は随分変わります。

※※通常、インプラントを植えこむ部位の骨が少なく、造骨が必要な場合の手術費用は別途必要になります。(※高度な技術が必要な造骨手術は、限られた歯科医院でしかできません)

フルマウスのケースで、
埋入するインプラントの本数
  • 4本のインプラントで、12本の歯を並べる(オールオン4)
  • 5本のインプラントで、12本の歯を並べる(下顎のみ)
  • 6本のインプラントで、12本の歯を並べる(第2大臼歯を作らない場合の、理想的な歯の本数)
  • 7本のインプラントで、12本の歯を並べる(面長で奥行きがある顔の方の場合)
  • 8本のインプラントで、14本の歯を並べる(理想的な歯の本数)
  • 9本のインプラントで、14本の歯を並べる(面長で奥行きがある顔の方の場合)
  • 10本のインプラントで、14本の歯を並べる(顎が大きい人の理想的な歯の本数)

それぞれのお口の状態に合わせてインプラントの本数を選択します。

5本のインプラントで、12本の歯を並べる(下顎・仮歯代含む)
(御殿場市在住 男性)

お口の中の状態

レントゲン写真

下顎に限定ですが条件が揃えば、5本のインプラントを埋入し、奥に延長した形で、第一大臼歯までを並べることができます。

6本のインプラントで、12本の歯を並べる(下顎・仮歯代含む)
(裾野市在住 女性)

お口の中の状態

被せ物を外した状態

6本のインプラントを埋入し、12本の歯を並べています。第二大臼歯を作らない場合の理想的な治療法になります。

7本のインプラントで、12本の歯を並べる(上顎・仮歯代含む)
(御殿場市在住 男性)

お口の中の状態

レントゲン写真

7本のインプラントを埋入し、12本の歯を並べています。面長で奥行きが長い顔の方の場合、前歯部に1本インプラントを追加することで、咬合の安定を図ります。

ナイトガード(保険治療)

歯ぎしり・食いしばり・噛みしめる事により、歯が痛むことを防止するためのマウスピースです。特に夜間の就寝中はご自身で力のコントロールができないため、起きている時よりも過大な力が掛かることは知られています。そのため、就寝中にナイトガードを装着する事が推奨されます。

ナイトガードの使用を推奨される方
  1. 歯ぎしり・食いしばり・噛みしめが強い方
  2. セラミックの被せ物が多く口の中にある方
  3. インプラントが多く口の中にある方
  4. スポーツや力仕事をしている方
ナイトガードの効果
  1. 歯のすり減りや破折を防止
  2. 噛む力が強いため起こる歯周組織の外傷(咬合性外傷)を防止
  3. つめ物・被せ物の破折や脱離の防止
  4. 顎関節の負担軽減
欠点や副作用
  1. 患者さんの協力が無ければ効果がない(飲酒すると付けるのを忘れやすい)
  2. 寝ている間に外してしまう可能性がある
  3. 誤飲の可能性がある
  4. 紛失する方が多い
  5. 長い間使用していると穴が開いてくる
  6. 適正な調整が出来ていないと歯周組織を痛める可能性がある
     

来院後の流れ

【初診(保険診療)】
レントゲンを撮影します。
ここでは、むし歯・歯周病・嚢胞・腫瘍の有無や状態、顎関節異常、顎骨の状態、親知らずの有無と生え方、埋伏歯の有無などを確認します。

インプラントをご希望の場合、精密検査へ進みます。
 

インプラント治療の流れ

インプラント精密検査

CT撮影で立体的な顎の骨を確認できます。

CTシミュレーション

CTデータをインプラント解析ソフトに入れ、手術のシミュレーションをします。
・骨の状態を確認し、骨造成が必要か見極めます。
・シミュレーションでインプラントが可能か確認し、インプラントのサイズを調べます。

治療計画の説明

コンサルティングでシミュレーション結果を解説します。
見積もりをお渡しします。

【インプラント精密検査+シミュレーション+コンサルティング費用】
Step1~3(自費)20,000円+税

全身検査

インプラント治療を安全に行うためには、手術に先立って全身状態を正確に把握し評価する必要があります。手術3カ月前以内に健康診断や人間ドックなどを行っていない場合や、行っていても検査項目に不備がある場合は、当院で採血を行い検査します。

手術前クリーニング

感染予防と術野確保のために、手術の約1週間前に歯のクリーニングを行います。

手術

インプラント本体を顎の骨に埋め込みます。
造骨が必要な場合、造骨をします。
静脈内鎮静法の費用は手術費に含まれます。

人工の歯を装着

インプラント本体の上に人工の歯を装着します。

メンテナンス

インプラントの寿命を長持ちさせるために、定期検診や歯のクリーニングを受けることをおすすめします。

 

インプラントの
メリット・デメリット

メリット

インプラントは歯が無いところに、歯を回復する治療の中で最も噛める治療法です。固定式で取り外しの煩わしさが無く、天然歯に近い形態や色で見た目も優れています。インプラントは他の歯に固定源を求めない唯一の治療法で、残っている歯を削ったり、残っている歯に義歯を安定させるためのバネを付けたりしません。残っている歯に負担を掛けないことも、インプラント治療の利点です。

主なメリット
  • 天然歯のように強く噛める
  • 食事を美味しく味わえる
  • 歯ごたえある食べ物の食感が楽しめる
  • 発音が安定して会話を楽しめる
  • 天然歯の見た目に近づける事が可能
  • 歯が戻る事で若返る
  • 笑顔の回数が増える
  • 自分の歯にかかる負担が減って長持ちする
  • 隣の歯を削る必要がない
  • 入れ歯のバネを掛ける必要が無い
  • インプラントは虫歯にならない
  • 取り外す面倒がない(インプラントオーバーデンチャーを除く)

デメリット

インプラント治療は、外科手術が必要なため全身疾患や服用している薬によっては治療できない場合があります。ブリッジや入れ歯に比べ手術後の治癒期間が必要なため治療期間が長くなります。保険適応外の自費治療のため治療費が高額です。インプラントをしたい場所に骨が十分ないと治療が難しくなり、担当医の技術により仕上がりに大きな差が出る治療になります。喫煙している人は成功率が著しく落ちるため禁煙が必要です。CTや生体モニター、AEDなどの設備が無い歯科医院では安全に手術が出来ません。

近年では10年間持ったインプラントが95%あったという報告もあります。しかし100%の成功ではありません。失敗の原因が解る場合と今の科学では解らない場合もあります。インプラントが定着しなかった場合はリカバリーの手術を行います。インプラントを長期に渡り使用するために、取り付けた被せ物や入れ歯治療が終わったあとの、定期的な噛み合わせのチェックやメンテナンスが必要です。

主なデメリット
  • 骨が無い場合、骨造成の手術が必要になる
  • 骨の状態により見た目がご自身の歯と異なることもある
  • 歯科医師の技術の差が大きい
  • お手入れをしないと感染するリスクがある
  • 治療期間が比較的長い
  • 食べ物が詰まりやすくなることがある
  • 外科処置に伴う痛み・腫れ・出血・合併症の可能性がある
  • 治療費が比較的高額

経験者がインプラントを選んだ理由

インプラントをご希望の皆さんが決断したターニングポイントをお聞きすると、
「テレビを見て大笑いしたときテーブルに入れ歯が落ちて、孫におばあちゃんの顎が外れたと家族総出で大騒ぎされ、何とかしなければと思い立ちインターネットで検索」
「息子夫婦と一緒に焼肉屋に行って、肉を小さくちぎって食べていると、息子に飯がまずくなると叱られたとき、情けなくなって決断」
「友達とカラオケに行って歌っている最中に、口から入れ歯が飛び出したとき、恥ずかしくて娘に調べてもらった」
「旅行中に入れ歯を紛失して、何も食べられず夫婦喧嘩になったとき、新聞で記事を見た」
「バネのついた部分入れ歯を飲み込み、救急車で運ばれて大ごとになったとき、2度とあんな思いをしたくないので、医者に聞いた」

いろいろな状況で嫌な思いをされ、諦めていたが、インターネットで調べたり、知人に聞いたり、新聞を見たり、涙ぐましい努力をしてインプラントのことを知った方が多くいます。

インプラントは自分の歯のように噛めるため、若かりし頃のように何でも食べることができ、入れ歯のように突然ずれたり外れたりして、恥ずかしい思いをすることはありません。

がむしゃらに働き、子供を産み、気づいてみたら歯がボロボロ。
あと何年自由に動けるかわからない。残りの人生好きな物を食べて生きたい。
そう考え世界中の人がインプラントを選ぶのです。

ある患者さんから「子供に出来るだけお金を残そうと思った時期もあったが、お金を残しても噛めなくて自分が寝たきりになり、認知症になったのでは意味が無い。歯を入れて何でも食べて元気でいることが、みんなに迷惑を掛けず幸せだから、生きた金を使うためインプラントを選んだよ!」と記憶に残るお言葉をいただきました。

積極的に自分の人生を変えたい前向きな人が、インプラントで噛める生活を勝ち取るのです。
2011年の厚生労働省の調査では、300万近い人がインプラントで生活を送っています。
歯が無くて悩んでいる皆さんも1歩踏み出しましょう。

 

検診・歯石とり・歯のクリーニング・フッ素塗布などもご予約いただけます。3か月先のご予約もお気軽にどうぞ。

055-947-4545

診療時間

診療時間
午前 8:30~12:30
午後 13:30~17:00
(16:30最終受付)
休診日 
診療カレンダーをご確認ください
055-947-4545

〒410-2211
静岡県伊豆の国市長岡1322-9
(順天堂静岡病院立体駐車場前)