伊豆の国市・伊豆市のインプラント・矯正歯科・審美歯科の歯医者・歯科・歯科医院

〒410-2211 静岡県伊豆の国市長岡1322-9 
 (順天堂静岡病院立体駐車場前)

診療時間
8:30~12:30
13:30~17:00(16:30最終受付)

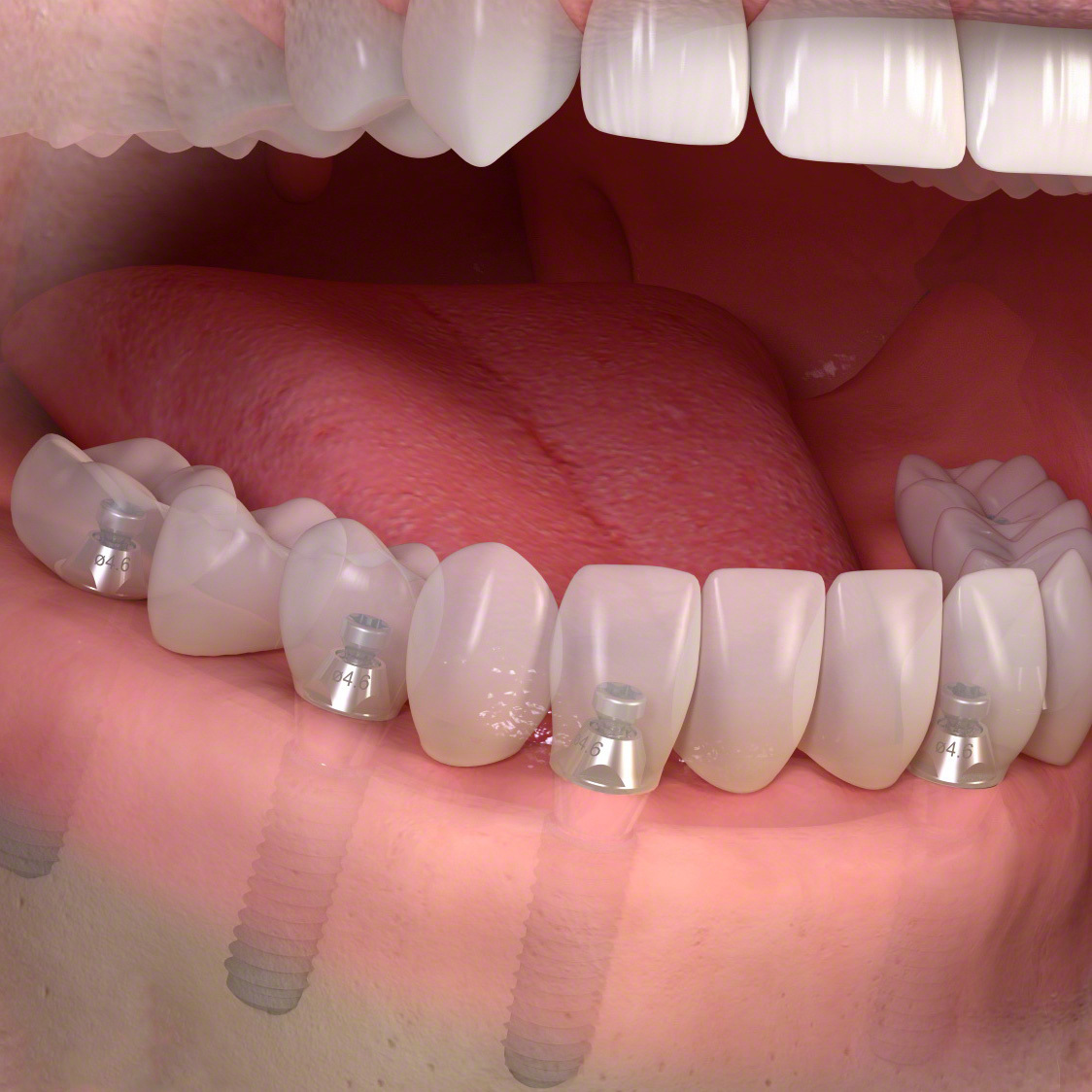
当院のインプラント治療

※自費診療です

インプラントの信頼できる
資格と実績
を持つ院長が担当

インプラント治療を検討されている方の中には、「手術が不安」「本当に大丈夫なのか」と心配される方も多いのではないでしょうか。

実際、インプラントは外科手術を伴う高度な治療です。あごの骨の周辺には重要な血管や神経が複雑に走っており、これらの組織を傷つけることなく手術を成功させるには、確かな技術と豊富な経験が欠かせません。

当歯科医院では、20年以上(※)にわたってインプラント治療を手がけてきた院長がすべての症例を担当。AAIDアメリカ口腔インプラント学会認定「専門医」、国際口腔インプラント学会認定「指導医」などの資格も保有しています。これらの専門医・認定医の資格は、学会に治療技術や知識・実績を認められた歯科医師にのみ与えられるものです。

日本国内でのインプラント教育は、まだ十分とは言えないのが現状です。大学での実習は限られており、指導にあたる教員ですら実際の治療経験がないケースも珍しくありません。模型を使った練習が中心で、実際の臨床に直結する技術を学ぶ機会が乏しいという課題があります。

一方、海外では事情が大きく異なります。指導医の監督のもと、実際の患者さまに対する治療も行える環境が整っているのです。治療現場で直接技術を磨けるため、応用力や判断力も自然と養われていきます。

インプラントの分野において、日本の臨床教育は海外に遅れをとっています。だからこそ、本当に安全で確かな治療を提供するためには海外に学びに行く必要があると考え、院長は海外研修で18回以上(※)にわたって臨床の経験を積んできました。難症例にも積極的に取り組み、実践的なスキルを磨いてきたのです。1951年に設立された最も歴史あるAAIDアメリカ口腔インプラント学会で専門医の資格を取得したことは、その技術力の証明と言えるでしょう。

20年以上(※)の経験を積み重ねた院長は、症例によって「抜歯即時埋入」や「大口式インプラント法」といった高度な治療もご提供が可能です。「GBR法」や「サイナスリフト」と呼ばれる骨を増やす治療も行えるため、骨の量が少ないと診断された方でも治療の可能性が広がります。患者さま一人ひとりの骨の状態や希望に合わせた、多角的な治療の選択肢をご用意しています。

再生療法(CGFを使った骨造成)

インプラント手術で骨が不足している場合、「骨造成(こつぞうせい)」と呼ばれる再生処置を行います。人工骨をそのまま使用するのではなく、患者さま自身の血液から作るCGF(Concentrated Growth Factors)と混ぜて使用するのが特徴です。

CGFには治癒を促す成長因子が豊富に含まれており、骨の再生をサポート。人工骨に自然な粘性を持たせ、患部にしっかりとどまりやすくなるという利点もあります。

患者さまご自身の血液を使うため、拒絶反応や感染リスクを抑えながら、より自然な治癒が期待できる再生療法です。こうした技術を活用することで、従来は難しいとされていた症例でもインプラントが可能になるケースが広がっています。

※2025年現在

痛みや負担を軽減する
治療体制

「インプラント手術は痛そう」「身体への負担が心配」という不安から、治療をためらっている方も多いのではないでしょうか。

人工の歯の根をあごの骨に埋め込む外科処置は、確かにお体への負担を伴います。手術後の痛みを心配される気持ちも、よく理解できます。

患者さまのこうした不安を解消するため、私どもは「静脈内鎮静法」という点滴麻酔をすべてのインプラント手術で実施。静脈内鎮静法は、点滴によって鎮静薬を投与し、うたた寝しているようなリラックス状態をつくる方法です。

実はインプラント手術では、恐怖や緊張により血圧が急上昇するリスクがあります。特に高血圧など循環器系に不安のある方にとっては、心筋梗塞・脳梗塞などの重大な合併症につながる可能性も否定できません。静脈内鎮静法を併用すれば、手術中の血圧・脈拍が安定しやすくなり、こうしたリスクの軽減にもつながるのです。

ほとんどの患者さまが恐怖心や痛みを感じることなく、「気づいたら終わっていた」とおっしゃいます。手術中の記憶がほとんど残らないのも、この麻酔法の大きな特徴でしょう。お体への負担も軽減され、リラックスした状態で治療を受けていただけます。

日本歯科麻酔学会
認定登録医の院長が麻酔を担当

静脈内鎮静法は、日本歯科麻酔学会「認定登録医」の資格を持つ院長が自ら担当します。この資格は、歯科治療中の全身管理や救急対応に関する知識と技術を備え、学会によって認定された歯科医師・医師に与えられるものです。

麻酔に関する深い知識と豊富な経験があるからこそ、患者さま一人ひとりの状態に合わせ、より安全に配慮した対応が可能です。不安を感じやすいインプラント治療だからこそ、眠っている間に終わる安心感を提供できる体制を整えています。

身体的にも精神的にも負担の少ないインプラント治療を実現するため、細やかな配慮を重ねています。痛みが不安で治療をためらっている方も、どうぞご相談ください。

より安全な手術のための
シミュレーション

インプラント治療は外科手術を伴うため、通常の歯科治療以上に慎重な対応が求められます。誤って神経や血管を傷つけてしまえば、重大な事故につながる可能性も否定できません。だからこそ、精密な検査と治療計画が不可欠なのです。

私どもは事前シミュレーションを徹底し、綿密な手術計画を立てています。インプラントを埋め込む位置を手術前に確認するのはもちろん、きちんと計画通りに埋め込むための工夫も欠かしません。

シミュレーション結果をもとに、患者さま一人ひとりに合わせて「ガイド」と呼ばれる器具を作製。手術ではこのガイドに沿ってインプラントを埋め込むため、重大な事故を防ぎながら、事前シミュレーション通りに治療を行えます。

3D画像を使ったリアルなシミュレーション

歯科用CTで得たデータをシミュレーションソフトに取り込むと、患者さまのお口の中の見えないところまで、3D画像でリアルに再現できます。

3D画像上では、以下の項目を詳細に確認します。

  • あごの骨の量
  • 歯の根の位置
  • 周辺にある神経や血管の位置

どこに、どのようにインプラントを埋め込むかを事前にシミュレーションすることで、理想的なインプラント手術の計画が可能です。こうしたシミュレーションシステムを導入することで、より安心してインプラント治療を受けていただける環境を整えています。

充実した設備で安全性を追求

インプラント治療は、外科手術を伴う高度な治療です。虫歯などの一般歯科診療に比べて、さらに専門的な知識や技術が求められます。安全な治療には、手術で使う機器の整備も欠かせません。

手術中の重大な事故を防ぎ、お体への負担が少ない治療を行えるよう、私どもは各種設備を取り揃えています。

完全貸切の手術環境

手術当日は、一人の患者さまのために医院全体を貸切状態にします。まわりの目や音を気にすることなく、リラックスした状態で手術に臨んでいただけます。落ち着いた環境での治療は、精神的な負担の軽減にもつながるでしょう。

生体モニター

手術中、患者さまの顔色等の見た目だけでは、お体の状況を完全に把握できないことがあります。

そこで、心拍数や体温、血圧、酸素飽和度、心電図を常に測定・記録できる生体モニターを導入。万が一異変が起こった際も迅速に対処できるため、より安全に手術を行えます。

ピエゾサージェリー

インプラントは人工の歯の根をあごの骨に埋め込む手術です。

当歯科医院では手術の際、超音波の振動を使った最新式の骨用メス「ピエゾサージェリー」を活用しています。従来の治療に比べてお体への負担が少ない点が大きなメリットです。

インプラントモーターのバックアップも準備

万が一の機器トラブルに備え、予備のインプラントモーターを常に待機させています。手術の中断やトラブルを未然に防ぎ、より安全に治療を進められる体制です。

高水準の滅菌体制

院内にはヨーロッパ基準のクラスB滅菌器を設置しています。あらゆる器具をしっかり滅菌し、手術中もクリーンな環境を保つことで、感染リスクを最小限に抑えています。

万が一に備えた救命設備

酸素ボンベ・アンビューバッグ・AEDも完備しています。院長は日本ACLS協会認定「BLSヘルスケアプロバイダー」ライセンス認定を受けているため、緊急時の対応もご安心いただけると思います。

術後の痛みや腫れを軽減

抗生物質や痛み止めは点滴で投与します。内服に比べて体内への吸収が早く、術後の腫れ・痛みを最小限に抑えることが可能です。治療後も快適にお過ごしいただけるよう配慮しています。

メインテナンスクラブで
長期的な健康維持

「インプラントにすれば虫歯にも歯周病にもならない」とお考えの方がいらっしゃいますが、実はそうではありません。確かに虫歯にはなりませんが、歯周病(インプラント周囲炎)にはかかってしまうのです。

天然の歯と比較すると、実はインプラントのほうが歯周病にかかりやすいという事実があります。天然の歯には歯根膜(しこんまく)という組織があり、細菌に対するバリア機能が備わっています。しかしインプラントにはそれがありません。

インプラント周囲に炎症が広がると、歯茎やあごの骨がダメージを受けやすくなってしまいます。最悪の場合、手術で埋め込んだインプラントが抜け落ちてしまうことも。こうしたリスクを回避するには、天然の歯以上の丁寧なメインテナンスが不可欠なのです。

私どもは、インプラントを長持ちさせるためにさまざまな取り組みを行っています。

より安心のメインテナンスクラブ

インプラントは「入れて終わり」ではありません。当歯科医院では治療後の健康を長期的に維持するため、年会費制の「メインテナンスクラブ」制度を導入しています。

唾液検査、年1回の歯科用CT撮影、咬合(噛み合わせ)の調整、年4回のクリーニングを実施。さらに、サプリメント、ビタミン注射、プラセンタ注射なども患者さまに合わせてご提供しています。

予約管理やご案内も医院側で行うので、患者さまご自身に管理の手間をかけさせません。受け身でいても自然とメインテナンスが継続できる、より安心の体制を整えています。

年会費制でのご利用が可能で、継続的にケアを受ける方にとっては経済的なメリットも(※)。単発でのご利用も対応可能ですが、1回ごとの費用負担が大きくなるため、年間プランでのご利用をおすすめしています。

丁寧なメインテナンスで、患者さまご本人も気づきにくい小さな異変を見逃しません。少しでも長くインプラントをお使いいただけるよう努めています。

※詳細は院内でご案内しています。

インプラント治療個別説明会のご案内

説明会では、パノラマレントゲンをもとに、お口の状態やインプラント治療の適応についてご説明いたします。

さらに詳しく治療内容をご希望の場合は、CTによる精密検査を行い、インプラントシミュレーションソフトを用いてデータを解析したうえで、お見積もりを作成し、治療計画をご案内いたします。

インプラント手術

歯が失われた部分のあごの骨に、チタン製の人工歯根(歯の根)を埋め込む手術を行います。最終的には人工の歯(被せ物)を被せ、しっかりと噛めるようにする治療法です。歯科用CT検査とシミュレーションソフトによる検査で、さらに正確さと安全性を確保します。

インプラント手術 275,000円

検査・診断は別途22,000円

  • インプラント一次・二次手術
  • 生体モニターによる生体管理(血圧・脈拍・血中酸素飽和度・心電図)
  • 静脈内鎮静法と筋肉内鎮静法
  • 抗生物質・痛み止め点滴と服用薬 を含む

治療の期間・回数:●~●週間、●~●か月、●~●回

リスクや副作用:手術後に、痛みや腫れ、出血、合併症などを引き起こす可能性があります。噛む感覚がご自身の歯と異なる場合があります。見た目がご自身の歯と異なる場合があります。手術後にメインテナンスを継続しないと、インプラントが抜け落ちる可能性があります。

造骨+CGF(再生療法)

インプラント治療で骨が不足している場合、「骨造成」と呼ばれる骨を増やす手術を行います。

当歯科医院では人工の骨と、患者さま自身の血液から作る「CGF(濃縮成長因子)」を併用した処置を行っています。CGFは血液中の成分を濃縮したものです。傷の治りを早め、骨の再生を自然にサポートするため、より安定した治療結果が期待できます。

CGFはご自身の血液を使うため、拒絶反応や感染のリスクを抑えられるのも特徴です。採血した部分が腫れたり内出血したりすることがありますが、通常は時間とともに改善します。まれに感染や術後の痛みが出る場合があります。

当歯科医院では事前にしっかりと説明を行い、内容をご理解・ご同意いただいた上で、安全に配慮して処置を行います。

造骨+CGF(再生療法)小 165,000円
造骨+CGF(再生療法)中 220,000円
造骨+CGF(再生療法)大 275,000円
ソケットリフト+造骨+CGF(再生療法) 220,000円
サイナスリフト+造骨+CGF(再生療法) 440,000円
抜歯即時埋入+造骨+CGF(再生療法) 165,000円
歯肉移植(歯数や範囲によって変動) 77,000~●円

治療の期間・回数:●~●週間、●~●か月、●~●回
リスクや副作用:骨造成治療は外科手術を伴います。手術後の腫れ、痛みを伴うことがあります。個人差がありますが、痛み止めや抗生剤をお出ししております。一時的なもので、多くの場合1週間以内に収まります。
骨造成治療後、骨がしっかりと作られるまで、3~12か月の治癒期間が必要です。糖尿病など内科的な疾患のある方、骨粗しょう症の方、人工透析を行っている方、喫煙者などは、骨造成治療が適さないケースもあります。また普段服用しているお薬等も治療に影響することがあります。免疫力や抵抗力が低下している方、虫歯・歯周病の治療が終了していない方、口腔内の衛生状態の悪い方は、骨造成治療がすぐにはできないことがあります。サイナスリフト、ソケットリフトをする際は、上顎洞粘膜が破れる可能性があります。抗生剤を手術中に点滴、術後に服用することで感染予防をし、粘膜が自然治癒するのを待ちます。お体の状態や細菌感染により、骨補填材と骨とが結合しないことがあります。この場合、原因を取り除いてご希望により再治療を行います。骨の成長途中にあるお子さま(およそ18歳未満の方)、妊婦の方は、骨造成治療が受けられません。未知の生物に対しての安全性は確立されていません。

アバットメント

インプラント本体と上部構造(被せ物)を連結する役割があり、被せ物の土台となる部分です。
アバットメントの種類によって値段が異なります。

ジルコニア
カスタムアバットメント
(審美土台)
132,000円
チタンカスタム
アバットメント
(強度土台)
132,000円
コバルトカスタム
アバットメント
99,000円
マルチユニット
アバットメント(直)
27,500円
マルチユニット
アバットメント
(角度付き)
38,500円

治療の期間・回数:●~●週間、●~●か月、●~●回

リスクや副作用:手術後に、痛みや腫れ、出血、合併症などを引き起こす可能性があります。噛む感覚がご自身の歯と異なる場合があります。見た目がご自身の歯と異なる場合があります。手術後にメインテナンスを継続しないと、インプラントが抜け落ちる可能性があります。

上部構造作製・装着

上部構造とは、手術によって埋め込んだインプラント本体の上部に入れる被せ物のことです。被せ物の素材は、ジルコニア・オールセラミック・メタルボンドなどがあります。

奥歯には強度が優れている素材を選び、前歯にはより審美性が良い素材を選ぶなど、患者さまのお口の状況に合わせた被せ物を作製・装着します。

前歯用
プレミアムジルコニア
(最も美しい。プラークが付きにくくメインテナンスが楽)
165,000円
奥歯用
スタンダードジルコニア
(強度を重視、プラークが付きにくくメインテナンスが楽)
154,000円
メタルボンド
(全顎1ピース可能、ジルコニアは全顎3ピースに分割する必要がある)
143,000円

治療の期間・回数:●~●週間、●~●か月、●~●回
リスクや副作用:強い力をかけると割れる(欠ける)可能性があります。噛む感覚がご自身の歯と異なる場合があります。見た目がご自身の歯と異なる場合があります。手術後にメインテナンスを継続しないと、インプラントが抜け落ちる可能性があります。

PMTC(歯のクリーニング)

歯科医師や歯科衛生士が、専用の器具・機械を使用して行う歯の清掃です。歯磨きだけでは落としきれない歯石、歯垢、着色を除去します。定期的に受けることで虫歯・歯周病の予防ができます。

80分 18,700円
(単発利用の場合)
メインテナンス
クラブ年会費
55,000円

メインテナンスクラブ入会の方

唾液検査、年1回の歯科用CT撮影、咬合(噛み合わせ)の調整、年4回のクリーニングを実施します。サプリメント、プラセンタ注射・点滴、マイヤーズ点滴なども患者さまに合わせてご提供しています。

治療の期間・回数:3~6ヶ月に1回

リスクや副作用:効果には個人差があります。出血を伴う可能性があります。歯茎が少し下がってみえる可能性があります。

※金額は税込み表記です。

インプラント治療の流れ

検査

検査器具やレントゲン、CTで、歯やあごの骨の状態を調べます。

治療計画の説明

歯やあごの骨など、お口がどんな状態なのかをご説明し、治療計画をご案内します。

手術

インプラント本体をあごの骨に埋め込みます。

人工の歯を装着

インプラント本体の上に人工の歯を装着します。

メインテナンス

インプラントを長持ちさせるために、定期検診や歯のクリーニングを受けることをおすすめします。

ナガオカデンタルクリニック(伊豆の国市の歯科医院)へのアクセス案内

静岡県東部・伊豆地域の広域から多くの患者様にご来院いただいております。 お車でお越しの際は、「順天堂大学医学部附属静岡病院」の立体駐車場を目指してお越しください。

【各方面からの主なルート】

・函南町方面より国道136号線・伊豆縦貫自動車道をご利用ください。

・伊豆市・下田市方面より 国道136号線、または伊豆中央道をご利用ください。

・沼津市方面より 国道414号線をご利用ください。

・三島市・清水町方面より 松本街道、または国道136号線をご利用ください。

・伊東市方面より 県道19号線(亀石峠経由)をご利用ください。

・熱海市方面より 熱函道路(県道11号線)をご利用ください。

・長泉町・裾野市・御殿場市方面より 伊豆縦貫自動車道をご利用いただくとスムーズです。

【駐車場について】 当歯科医院は順天堂静岡病院立体駐車場のすぐ目の前にございます。お車でお越しの際は同駐車場をご利用ください。 ※会計時に、駐車料金を当院にて負担させていただきますので、スタッフまでお申し付けください。(2026年1月現在)

検診・歯石とり・歯のクリーニング・フッ素塗布などもご予約いただけます。3か月先のご予約もお気軽にどうぞ。

055-947-4545

診療時間

診療時間
午前 8:30~12:30
午後 13:30~17:00
(16:30最終受付)
055-947-4545

〒410-2211
静岡県伊豆の国市長岡1322-9
(順天堂静岡病院立体駐車場前)